Descoberta mutação por trás de calcificações no cérebro 06/09/2013 - 09:00
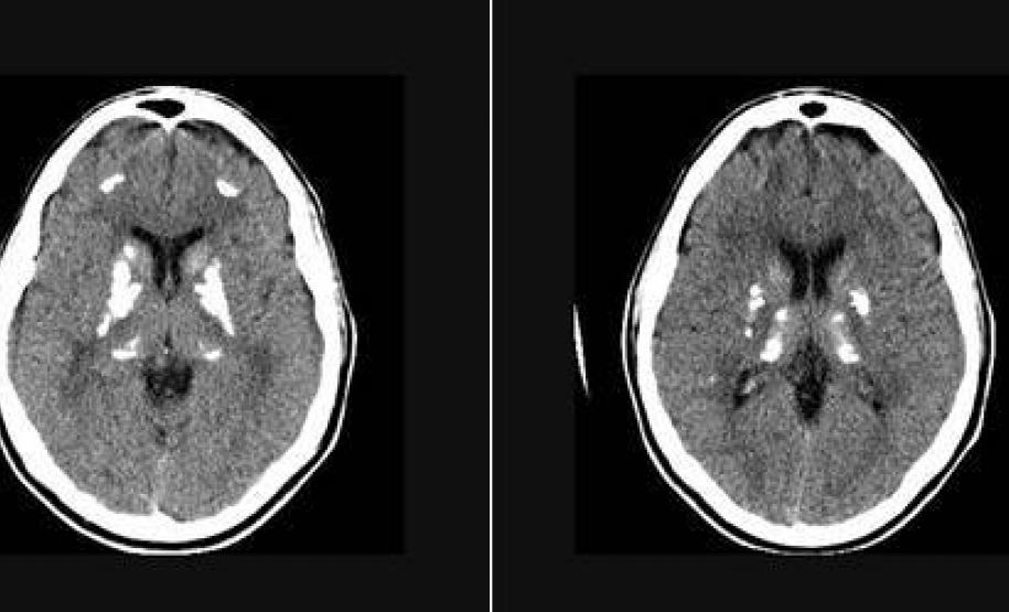
Um grupo internacional liderado pelo neuropsiquiatra João Ricardo de Oliveira, da Universidade Federal de Pernambuco (UFPE), acaba de identificar um gene ligado à formação de calcificações no cérebro. Essa anomalia atinge apenas 1% dos jovens no mundo, mas chega a 20% entre as pessoas com mais de 80 anos, e está por trás de distúrbios como esquizofrenia e mal de Parkinson. “Identificamos o gene e também um modelo animal para estudar os seus efeitos”, comemora o pesquisador. Os resultados foram publicados no site da Nature Genetics.
O grupo de Oliveira há alguns anos estuda a genética por trás da doença de Fahr, caracterizada pelas calcificações no cérebro. Entre as cerca de 20 famílias de pacientes já analisadas, o gene PDGF-B, identificado agora, está alterado em seis – uma delas brasileira, atendida pela equipe de Mayana Zatz, do Centro de Estudos sobre o Genoma Humano e Células-Tronco, na Universidade de São Paulo. As outras estão em vários países, como Alemanha, França e Suíça, ressaltando a abrangência geográfica do problema.
O PDGF-B já era conhecido na genética médica por sua participação na formação de tumores de mama, ovário, cérebro e pulmão. “Mas ele causa câncer quando a mutação aumenta a atividade do gene”, explica o pesquisador. “As calcificações acontecem quando o gene perde a função.” O mecanismo deve estar relacionado à barreira hematoencefálica, que impede que substâncias transportadas pelo sangue cheguem ao cérebro. “Funciona como um filtro, e problemas nesse filtro causam microdistúrbios no transporte de cálcio.” Ao longo dos anos, esse cálcio pode se acumular e formar grânulos.
Ao saber sobre esse gene, Oliveira foi atrás de um modelo animal que permitisse detalhar o seu funcionamento. Encontrou Annika Keller, do Hospital Universitário Zurique, na Suíça. Ela estuda a barreira hematoencefálica usando camundongos em que o gene PDGF-B foi desligado, mas não tinha prestado atenção às calcificações cerebrais visíveis em tomografias. “Os camundongos simulam muito bem o que acontece em humanos”, afirma Oliveira. Para ele, encontrar esse modelo animal é importante porque permitirá testar drogas para combater os efeitos no cérebro da mutação recém-descoberta.
O gene agora em destaque não é o único envolvido em calcificações no cérebro. Oliveira participou de outro estudo – também publicado na Nature Genetics, em fevereiro de 2012 – que identificou um gene alterado em 50% das famílias de pacientes já estudadas. Dada a importância desse gene em termos de número de famílias, o pesquisador da UFPE comemora ter também encontrado um modelo animal que permitirá estudá-lo. O anúncio da descoberta deve vir em breve, em artigo aceito para publicação na revista Journal of Molecular Neuroscience.
Para Oliveira, o avanço na identificação de genes por trás de calcificações no cérebro – o PDGF-B é o segundo em importância, seguido por outro descoberto no ano passado por um grupo francês – pode vir a ser útil no aconselhamento genético para evitar que casais portadores tenham filhos com a doença, e também no diagnóstico. “Muitas pessoas com doença de Fahr são hoje tratadas para enxaqueca, esquizofrenia ou Parkinson”, lamenta.
Artigo científico
KELLER A. et al. Mutations in the gene encoding PDGF-B cause brain calcifications in humans and mice. Nature Genetics. Publicado on-line 4 ago. 2013.
O grupo de Oliveira há alguns anos estuda a genética por trás da doença de Fahr, caracterizada pelas calcificações no cérebro. Entre as cerca de 20 famílias de pacientes já analisadas, o gene PDGF-B, identificado agora, está alterado em seis – uma delas brasileira, atendida pela equipe de Mayana Zatz, do Centro de Estudos sobre o Genoma Humano e Células-Tronco, na Universidade de São Paulo. As outras estão em vários países, como Alemanha, França e Suíça, ressaltando a abrangência geográfica do problema.
O PDGF-B já era conhecido na genética médica por sua participação na formação de tumores de mama, ovário, cérebro e pulmão. “Mas ele causa câncer quando a mutação aumenta a atividade do gene”, explica o pesquisador. “As calcificações acontecem quando o gene perde a função.” O mecanismo deve estar relacionado à barreira hematoencefálica, que impede que substâncias transportadas pelo sangue cheguem ao cérebro. “Funciona como um filtro, e problemas nesse filtro causam microdistúrbios no transporte de cálcio.” Ao longo dos anos, esse cálcio pode se acumular e formar grânulos.
Ao saber sobre esse gene, Oliveira foi atrás de um modelo animal que permitisse detalhar o seu funcionamento. Encontrou Annika Keller, do Hospital Universitário Zurique, na Suíça. Ela estuda a barreira hematoencefálica usando camundongos em que o gene PDGF-B foi desligado, mas não tinha prestado atenção às calcificações cerebrais visíveis em tomografias. “Os camundongos simulam muito bem o que acontece em humanos”, afirma Oliveira. Para ele, encontrar esse modelo animal é importante porque permitirá testar drogas para combater os efeitos no cérebro da mutação recém-descoberta.
O gene agora em destaque não é o único envolvido em calcificações no cérebro. Oliveira participou de outro estudo – também publicado na Nature Genetics, em fevereiro de 2012 – que identificou um gene alterado em 50% das famílias de pacientes já estudadas. Dada a importância desse gene em termos de número de famílias, o pesquisador da UFPE comemora ter também encontrado um modelo animal que permitirá estudá-lo. O anúncio da descoberta deve vir em breve, em artigo aceito para publicação na revista Journal of Molecular Neuroscience.
Para Oliveira, o avanço na identificação de genes por trás de calcificações no cérebro – o PDGF-B é o segundo em importância, seguido por outro descoberto no ano passado por um grupo francês – pode vir a ser útil no aconselhamento genético para evitar que casais portadores tenham filhos com a doença, e também no diagnóstico. “Muitas pessoas com doença de Fahr são hoje tratadas para enxaqueca, esquizofrenia ou Parkinson”, lamenta.
Artigo científico
KELLER A. et al. Mutations in the gene encoding PDGF-B cause brain calcifications in humans and mice. Nature Genetics. Publicado on-line 4 ago. 2013.



